Entre 2007 y 2008 se descargaron 215.000 toneladas de cascarilla de soja en el puerto de Tarragona. En la cascarilla se encuentra la proteína causante de las epidemias de asma bronquial. Los objetivos de este estudio fueron estudiar las características de las descargas, la dispersión del alergeno y el riesgo para la población.
MétodosSe recogió información sobre el proceso de descarga, transporte y almacenaje, la meteorología y los casos de asma atendidos en urgencias hospitalarias. Se midió la concentración de alergeno en los filtros de PM10 de las estaciones de vigilancia de la contaminación atmosférica. En los pacientes sensibilizados se realizó un estudio clínico consistente en pruebas cutáneas, IgE sérica total y específica para soja, e inmunoblotting.
ResultadosSe encontraron concentraciones moderadas de alergeno a un kilómetro del punto de descarga (3 días por encima de 300U/m3, máximo 441U/m3). El perfil proteico de los extractos de cascarilla es similar al de las muestras de las epidemias de Barcelona. El 92% de los pacientes estudiados son sensibles a los extractos de cascarilla. No hubo ninguna epidemia de asma durante los días de descarga. Además de las proteínas de bajo peso molecular identificadas en estudios anteriores (6 y 14–17kDa), se han encontrado proteínas de mayor peso molecular (14–49kDa).
ConclusionesExiste dispersión del alergeno a corta distancia del lugar de la descarga y riesgo para la población que continúa sensibilizada. Han de adoptarse medidas durante las descargas para reducir al mínimo la emisión de partículas.
From 2007 to 2008, 215,000 tons of soybean hull were unloaded in the Port of Tarragona. Soybean hull was identified as the etiologic agent causing bronchial asthma outbreaks. The aim of the present study was to identify the characteristics of soybean unloading, soybean allergen dispersion, and the population risk.
MethodsData on soybean hull unloading, carriage and storage, meteorological conditions and the number of emergency room admissions for asthma were recorded. Allergen concentrations were obtained by sampling PM10 filters retaining particles of less than 10 microns for 24 hours in the atmospheric contamination surveillance stations. Sensitized patients underwent clinical examination consisting of skin prick test, total and specific IgE and immunoblotting to soybean extracts.
ResultsAllergen emissions were moderate at one kilometer from the unloading source (above 300U/m3 on 3 days, maximum 441U/m3). The protein pattern of hull soybean extracts was similar to that found in asthma epidemics in Barcelona. Ninety-two percent of the patients were sensitized to soybean hull extracts. No asthma epidemic was detected during unloading days. In addition to the low molecular weight soybean proteins identified in previous studies (6 and 14–17kDa), high molecular weight proteins were found (14–49kDa).
ConclusionsThere is allergen dispersion at a short distance from the unloading source, posing a risk to sensitized patients. Technical measures are required during soybean hull operations to reduce particle emissions.
La descarga y la manipulación de habas de soja se han asociado a la producción de brotes epidémicos de asma. Este problema, descrito en la ciudad de Barcelona1, ha sido estudiado en otras ciudades portuarias en que se manipula soja2–5. En Tarragona se produjeron, en 1994 y 1995, dos pequeñas epidemias de asma bronquial con 15 y 8 casos, respectivamente, atendidos en los servicios de urgencias de los hospitales de la ciudad6.
En el puerto de Tarragona se descargaron grandes cantidades de habas de soja entre 1960 y 1990. A partir de entonces disminuyeron progresivamente las descargas, que se hacen muy esporádicas después del cierre, en el año 1996, de una planta de producción de aceite de soja situada en el puerto. A inicios del año 2007, los servicios de salud pública detectaron un aumento de la frecuencia de las llegadas de buques que transportan cascarilla de soja y harina de soja en bodegas independientes.
La cascarilla de soja es un subproducto del procesado de las habas de soja para la obtención de aceite. En este proceso, los granos se molturan a un tamaño de 3–4mm y la cascarilla se separa por aspiración. Ya que se trata de un producto muy voluminoso, se granula para aumentar su densidad y facilitar su transporte.
Debido a que en la cascarilla de soja se encuentra la proteína que puede provocar una reacción bronquial grave y súbita de tipo alérgico en población sensibilizada7,8, se decidió realizar un estudio epidemiológico longitudial cuyos objetivos fueron: 1) conocer el proceso de descarga, transporte y almacenaje de la cascarilla de soja en el puerto de la ciudad de Tarragona, 2) estudiar la dispersión de los aeroalergenos y determinar el riesgo existente para la población, y 3) determinar la capacidad sensibilizante de la cascarilla de soja.
MétodoInformación sobre las descargasPara obtener datos sobre las descargas se diseñó una hoja de recogida de datos con los siguientes apartados:
- •
Nombre del buque, procedencia, escalas anteriores, toneladas de cascarilla de soja a descargar, muelle de atraque y compañía estibadora (información proporcionada por el Departamento de Operaciones Portuarias del Puerto de Tarragona con un mínimo de 5 días de antelación a la llegada del buque al puerto).
- •
Días y horario de descarga, procedimiento de descarga, procedimiento de transporte, lugar y forma de almacenamiento (información proporcionada por la compañía estibadora).
- •
Condiciones meteorológicas durante la descarga: dirección y velocidad del viento. Estos datos se obtenían de la estación situada en el puerto de Tarragona perteneciente a la Red de Vigilancia y Previsión de la Contaminación Atmosférica del Departamento de Medio Ambiente de la Generalitat de Catalunya.
Las concentraciones de alergeno se obtienen del análisis de los filtros PM10 que retienen las partículas de tamaño inferior a 10 micras durante 24h de las estaciones de la Red de Vigilancia y Previsión de la Contaminación Atmosférica del Departamento de Medio Ambiente. Estas estaciones están situadas aproximadamente a un kilómetro del punto de descarga (estación del Puerto), a 3km al norte en el ensanche de la ciudad (estación de la Delegación del Departamento de Agricultura) y a 3km al oeste (estación de la Universidad Laboral). La distancia en línea recta de los puntos de descarga a los núcleos habitados más cercanos (barrio marítimo de Tarragona) es de 1,5km.
En abril de 2008, la estación Puerto cambió de ubicación y se situó a 1,3km de distancia del punto de descarga, más apartada de los núcleos de población cercanos.
Para la medida de las concentraciones de alergeno se utilizó la técnica de ELISA competitivo, descrita en estudios previos9. El límite de detección del método es de 10U/m3.
Composición proteica de la cascarilla de sojaSe obtuvieron extractos antigénicos de dos muestras de cascarilla de soja de diferentes procedencias (Argentina y Brasil), y se compararon con muestras de cascarilla obtenida de las habas de soja causante de las epidemias de la ciudad de Barcelona. Para la obtención de los extractos antigénicos se utilizó el método previamente descrito10.
Vigilancia de los casos de asma bronquial atendidos en los servicios de UrgenciasLos servicios de urgencias de los dos hospitales de la ciudad (Hospital Universitari de Tarragona Joan XXIII y Hospital de Sant Pau i Santa Tecla) eran informados de los horarios de las descargas y se solicitaba que notificaran de forma rápida a los servicios de salud pública cualquier sospecha de epidemia de asma (definición: dos o más pacientes residentes en la ciudad de Tarragona con diagnóstico de asma bronquial o broncoespasmo de inicio súbito o grave de los síntomas y con pocos minutos de diferencia en el momento de ingreso en el servicio de urgencias).
Posteriormente se consultaron los registros de urgencias de los hospitales para recoger los casos de asma y broncoespasmo atendidos durante los días de descarga, y se registraron los siguientes datos: municipio de residencia, edad, sexo, hora de entrada, diagnóstico y destino (alta, ingreso o defunción).
Los pacientes sensibilizados conocidos de las epidemias de los años 1994 y 1995 eran avisados con antelación por los servicios de salud pública de los días y horas de descarga, y recibían recomendaciones de evitar acercarse a la zona portuaria y, si era posible, de confinamiento en el domicilio o en el lugar de trabajo.
Estudio de los pacientes alérgicosLos pacientes fueron citados entre agosto y octubre de 2007 para la recogida de datos clínicos (datos personales, datos de la historia clínica anterior y anamnesis actual) y la realización de las siguientes pruebas:
- •
Pruebas funcionales respiratorias: espirometría forzada y prueba broncodilatadora, según la normativa de la Sociedad Española de Neumología y Cirugía Torácica11.
- •
Pruebas cutáneas con técnica de prick test con cuatro extractos de soja: dos de muestras de cascarilla de soja de procedencias diferentes (Argentina y Brasil) obtenidas directamente del puerto de Tarragona durante dos descargas (Bial-Aristegui, Bilbao, España), un extracto de haba de soja (Bial-Aristegui, Bilbao, España) y un extracto comercial de cascarilla de soja (Diater, Madrid, España).
- •
Determinación de los valores de IgE específica para cascarilla de soja mediante acoplamiento del extracto de cascarilla de soja a un InmunoCap de estreptavidina (Phadia AB, Uppsala; Sweden).
- •
En los pacientes con IgE específica para cascarilla de soja positiva se estudió el patrón de bandas proteicas reconocidas mediante immunoblotting, siguiendo el método previamente descrito10.
Se informó a todos los pacientes de las características del estudio, y todos manifestaron su aprobación.
ResultadosCaracterísticas de las descargasEntre enero de 2007 y diciembre de 2008 se llevaron a cabo 35 descargas de cascarilla de soja en el puerto de Tarragona. La cantidad total descargada ascendió a 215.185t (media por descarga: 6.148; mínimo: 2.200; máximo: 16.425) en 74 días de descarga (media por descarga: 2,1; mínimo: 1; máximo: 4).
Las características físicas de la cascarilla de soja no permiten utilizar procedimientos de descarga por circuito cerrado, por lo que se lleva a cabo con grúas de cuchara que vierten su contenido sobre tolvas convencionales, bajo las cuales se sitúan los camiones que transportan el producto hasta los almacenes del interior del puerto o de polígonos industriales cercanos.
En la mayoría de las descargas la cascarilla de soja procedía de Argentina, y en algunas ocasiones, antes de llegar a Tarragona los buques habían hecho escala en los puertos de Cádiz o Cartagena.
Concentraciones de inmisión de aeroalergenoEn el año 2007 se obtuvo el 61% de los filtros PM10 posibles (67% de la estación Puerto, 49% de la estación Departamento de Agricultura y 67% de la estación Universidad Laboral). En las descargas del año 2008 se decidió analizar únicamente los filtros de la estación Puerto, y cuando los valores eran superiores a 300U/m3 los de las otras dos estaciones. En este año sólo se consiguió el 37% de los filtros PM10 posibles de la estación Puerto.
Las concentraciones de alergeno detectadas en la estación Puerto fueron considerablemente más altas que los de las otras dos estaciones situadas a más distancia (fig. 1). En este punto, la concentración media durante los días de descarga fue de 141,5U/m3 (rango: 16–441). En ningún día se superó el valor umbral establecido por el sistema de vigilancia de las descargas en la ciudad de Barcelona (480U/m3).
En todos los días que se registraron valores superiores a 300U/m3 hubo condiciones de dirección y velocidad del viento favorables a la dispersión desde el punto de descarga hacia la estación de medida de la contaminación (tabla 1).
Días de descarga de cascarilla de soja con concentraciones de alergeno superiores a 99U/m3 en la estación Puerto. Concentración de alergeno, dirección y velocidad del viento. Fuente: Red de Vigilancia y Previsión de la Contaminación Atmosférica, Departamento de Medio Ambiente, Generalitat de Catalunya
| Fecha | Muelle de descarga | Concentración de alergeno (U/m3) | Dirección del viento favorablea | |
| Número de horas | Velocidad media (m/s) | |||
| 22 mayo 2008 | Castilla | 441 | 1,5 | 3,3 |
| 30 julio 2007 | Castilla Sur | 413 | 3,5 | 3,5 |
| 15 mayo 2007 | Castilla Oeste | 324 | 7,5 | 3,8 |
| 9 agosto 2007 | Aragón | 283 | 8b | 5,5b |
| 14 junio 2007 | Aragón | 230 | 4b | 2,7b |
| 17 abril 2007¿ | Aragón | 218 | 2 | 2,0 |
| 24 julio 2007 | Castilla Oeste | 208 | 6 | 3,7 |
| 4 diciembre 2007 | Aragón | 199 | 0b | – |
| 17 mayo 2007 | Castilla Oeste | 186 | 5b | 5,3b |
| 10 agosto 2007 | Aragón | 161 | 2,5 | 3,2 |
| 29 noviembre 2007 | Aragón | 155 | 0b | – |
| 18 septiembre 2007 | Aragón | 153 | 2b | 4,5b |
| 3 mayo 2007 | Castilla Sur (2 barcos) y Aragón | 152 | 1 | 2,3 |
| 29 octubre 2007 | Aragón | 152 | 2b | 2,4b |
| 29 mayo 2008 | Castilla Sur | 152 | 1,5 | 3,3 |
| 5 diciembre 2007 | Aragón | 148 | 0,5b | 2,6b |
| 23 febrero 2007 | Aragón | 136 | 1,5 | 3,3 |
| 15 mayo 2008 | Castilla Sur | 134 | 0 | – |
| 23 julio 2007 | Castilla Oeste | 125 | 2,5b | 2,4b |
| 12 julio 2007 | Castilla Sur | 115 | 3,5b | 2,5b |
| 14 mayo 2007 | Castilla Oeste | 100 | 11 | 7,2 |
| 31 enero 2008 | Aragón | 100 | 0,5b | 1,8b |
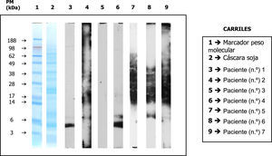
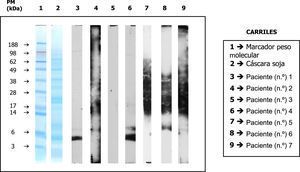
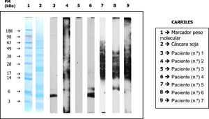
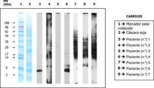
La figura 2 muestra las bandas proteicas obtenidas en el SDS-PAGE de los extractos estudiados. El perfil proteico de los extractos de cascarilla procedentes de Brasil y Argentina es similar al de las muestras de cascarilla de haba de soja de las epidemias de la ciudad de Barcelona, con proteínas en un rango entre 5 y 99kDa.
Episodios de crisis asmáticasDurante los días de descarga no se produjo ningún episodio epidémico, y ninguno de los pacientes sensibilizados conocidos acudió a un servicio de Urgencias por una crisis de asma.
Resultados del estudio alergológicoTrece de los 15 pacientes sensibilizados pudieron ser estudiados: cinco mujeres y ocho hombres, con una edad media de 57,1 años (rango: 25–86), un tiempo medio de evolución del asma de 29,0 años (rango: 14–44) y clasificación del asma según la gravedad en el momento de la entrevista de intermitente leve el 31%, persistente leve el 15%, persistente moderada el 31% y persistente grave el 23%. Ninguno de los pacientes había tenido exposición laboral a soja desde las epidemias de los años 1994 y 1995.
El prick test con extracto de cascarilla de soja obtenida durante las descargas fue positivo en 12 de los pacientes, resultado similar al hallado con extracto de habas de soja (positivo en 11) y muy superior al obtenido con extracto comercial de cascarilla de soja (positivo en 3). La IgE específica para cascarilla de soja fue positiva en 7 de los 13 pacientes.
Las características clínicas del asma de los pacientes, así como el estudio inmunoalérgico, se detallan en la tabla 2.
Características clínicas de los pacientes y resultados del estudio inmunoalérgico
| Paciente | Sexo | Edad (años) | Tiempo de evolución del asma (años) | Clasificación actual del asma | Prick test cascarilla de soja (muestra 1) | Prick test cascarilla de soja (muestra 2) | Prick test haba de soja | Prick test cascarilla de soja (comercial) | IgE específica (cascarilla de soja) |
| 1 | Hombre | 86 | 37 | Persistente grave | Positivo | Positivo | Positivo | No realizado | Positivo |
| 2 | Hombre | 67 | 32 | Persistente moderada | Positivo | Positivo | Positivo | Negativo | Negativo |
| 3 | Mujer | 74 | 44 | Persistente grave | Positivo | Positivo | Negativo | Negativo | Negativo |
| 4 | Mujer | 38 | 14 | Persistente moderada | Positivo | Positivo | Positivo | No realizado | Negativo |
| 5 | Mujer | 45 | 41 | Persistente moderada | Positivo | Positivo | Positivo | Negativo | Positivo |
| 6 | Mujer | 59 | 19 | Persistente moderada | Positivo | Negativo | Positivo | Negativo | Negativo |
| 7 | Hombre | 25 | 18 | Intermitente leve | Positivo | Negativo | Positivo | Negativo | Positivo |
| 8 | Hombre | 54 | 29 | Intermitente leve | Positivo | Positivo | Positivo | Positivo | Positivo |
| 9 | Hombre | 84 | 22 | Persistente leve | Positivo | Positivo | Positivo | Positivo | Negativo |
| 10 | Mujer | 47 | 26 | Intermitente leve | Positivo | Positivo | Positivo | Negativo | Positivo |
| 11 | Hombre | 77 | 43 | Persistente grave | Positivo | Positivo | Positivo | Negativo | Negativo |
| 12 | Hombre | 32 | 23 | Persistente leve | Negativo | Negativo | Negativo | No realizado | Positivo |
| 13 | Hombre | 54 | 29 | Intermitente leve | Positivo | Positivo | Positivo | Positivo | Positivo |
Los resultados de la caracterización de los anticuerpos IgE específicos por immunoblotting (fig. 2) mostraron bandas de bajo peso molecular ya identificadas en anteriores estudios13 (7,5 y 14–17kDa), y diversas bandas de alto peso molecular (14–49kDa).
DiscusiónDurante el procesado de las habas de soja, los granos son sometidos a varias manipulaciones (limpieza, moltura, aspiración y granulación) e incluso pueden tostarse antes de molerse para reducir la actividad bacteriana y mejorar su conservación. Aunque se ha descrito la afectación de la capacidad alergénica de la cascarilla de soja como resultado del calor generado durante el almacenamiento y el transporte14, la electroforesis realizada demuestra que la composición proteica de la cascarilla no resulta alterada por la acción de agentes físicos.
En el presente estudio se realizó un análisis de la concentración ambiental de aeroalergenos de soja en la ciudad de Tarragona usando el mismo método de medida utilizado en la monitorización de las concentraciones de aeroalergenos de soja en la ciudad de Barcelona9, por lo que los datos de concentración en ambas ciudades son comparables. Para el estudio de la dispersión del alergeno no se pudo contar con muestras de todos los días de descarga, y sólo con puntos de muestreo a 1 y 3km de distancia del punto de emisión. Los resultados de las medidas de concentración de alergeno realizadas demuestran una moderada dispersión del alergeno solo a 1km de distancia. La media de las concentraciones de alergeno durante los días de descarga en la estación Puerto es el doble de la registrada en la ciudad de Barcelona el año 1998 después de la introducción de medidas de control de las emisiones (74U/m3)12. Sólo tres días los valores han sido superiores a 300U/m3, pero en ningún caso han llegado a los niveles máximos registrados en Barcelona durante la fase previa a la intervención de control.
La relación entre las concentraciones de alergeno y las condiciones meteorológicas (dirección y velocidad del viento) muestra que concentraciones de alergeno superiores a 200U/m3 van siempre asociadas con direcciones de viento favorables, si bien existe una gran variabilidad en el número de horas. Para concentraciones inferiores a 200U/m3 no siempre existe un mínimo de tiempo con dirección de viento favorable. Además de la ausencia parcial de datos de dirección y velocidad del viento en la estación de Puerto, debería considerarse que durante el proceso de descarga podrían producirse paradas técnicas no previstas que ocasionaran diferencias entre el horario real de descarga y el comunicado por la compañía estibadora.
El procedimiento de descarga produce polvo cuando se abre la cuchara de la grúa y cuando se vierte su contenido en los camiones. Además, la circulación de camiones produce la resuspensión de pequeñas cantidades de cascarilla que se encuentran sobre el muelle. Ya que las partículas de cascarilla que transporta el viento tienen un tamaño más grande y su punto de partida se encuentra a pocos metros de altura del muelle, su desplazamiento se produciría a una menor distancia que el polvo de habas de soja. Esta ser la razón de que no se haya producido ninguna epidemia de asma durante las descargas. En el pasado, las epidemias de asma fueron causadas por la descarga de habas de soja, un producto que produce un polvo más fino, que al dispersarse probablemente desde el punto más alto de los silos hizo posible que el alergeno llegase a una distancia de más de 3km.
Además de esto, la comunicación y el recordatorio de las medidas preventivas a los pacientes sensibilizados habría reducido el número de personas expuestas. Todos los pacientes tenían su domicilio y su lugar de trabajo, y realizaban sus actividades cotidianas, a más de 2km de distancia de los puntos de descarga.
A pesar del tiempo transcurrido y de la falta de exposición al alergeno, la mayoría de los pacientes continuaban sensibilizados y con riesgo de presentar agudizaciones de su asma por exposición a la cascarilla de soja.
El presente estudio demuestra que durante las descargas de cascarilla de soja en el puerto de Tarragona existe dispersión del alergeno de soja a corta distancia. Los extractos antigénicos de la cascarilla de soja descargada muestran un perfil proteico igual al descrito en las epidemias de la ciudad de Barcelona, y tienen actividad alergénica, tal como demuestran los resultados del immunoblotting realizado con los pacientes estudiados.
Por lo tanto, los pacientes sensibilizados tienen riesgo de padecer una crisis asmática de extrema gravedad si se encuentran en la zona donde puede dispersarse el alergeno. Para evitar este posible riesgo, seguirá siendo necesario continuar la estrategia de información y alerta sobre la programación de las descargas. Igualmente, hasta que no se realicen cambios en los procedimientos de descarga de la cascarilla de soja, deberían continuarse la actividades de vigilancia activa (medidas de concentración ambiental de alergeno e información y alerta de los servicios de urgencias hospitalarios). Para reducir al mínimo la liberación a la atmósfera de este alergeno deberían introducirse mejoras tecnológicas en las descargas (tolvas ecológicas con mecanismos de compuertas y sistemas de presión positiva), además de otras medidas como el barrido periódico de los muelles o la cobertura con lonas del compartimento de carga de los camiones durante el transporte a los almacenes.
Sigue sin haber una normativa ambiental específica para el polvo de soja y para otros contaminantes con capacidad alergénica15. La cascarilla de soja es un nuevo producto que podría añadirse a esta lista y que demuestra, una vez más, la necesidad de avanzar hacia una reglamentación más normalizada de un riesgo para la salud pública.
A los Servicios Territoriales del Departament de Medi Ambient i Habitatge, por la cesión de los filtros de partículas. Al Departamento de Sistemas d'Información para la Gestión, del Hospital Universitari de Tarragona Joan XXIII, y a la Unidad de Epidemiología del Hospital de Sant Pau i Santa Tecla, por facilitar la información sobre los pacientes atendidos en los servicios de urgencias. A los Laboratorios Bial-Aristegui, por su colaboración en la elaboración de los extractos de las pruebas cutáneas.
Contribuciones de autoría
E. Rovira se encargó del diseño del estudio y de la supervisión de todos los aspectos de su realización. A. Cuadras se encargó de la recogida de los datos de las descargas, de la obtención de muestras ambientales y de la interpretación de los datos meteorológicos. P. Gaig, V. Gázquez y G. Dalmau realizaron el estudio de los pacientes sensibilizados y las pruebas clínicas. M.J. Cruz y S. Gómez hicieron las determinaciones de las muestras ambientales y los análisis de los pacientes. Todos los autores aportaron ideas para la discusión y revisaron los borradores del manuscrito. Todos los autores aprobaron la versión final.
Financiación
Sin financiación externa.
Conflictos de intereses
Sin conflictos de intereses.













